loading...

인공지능(AI) '상상을 초월한 세계'

인공지능 ( AI ) , 상상을 초월한 세계

지난 11월19일, 삼성SDS Campus 파스칼홀에서 열린 정지훈교수의 '인공지능, 상상을 초월한 세계 ' 강연 현장에 다녀왔습니다. 그 동안 가지고 있던 AI에 관한 궁금증 해결은 물론 강연을 통해 얻은 새로운 Insight를 간단하게 공유하려고 합니다.

#1. 당장 증명할 수 없다고, 다가올 새로운 미래를 성급하게 부정하지 마라!

AI(Artificial Intelligence)의 세계를 열은 7인 (Jhon McCarthy, Marvin Minsky, Claude Channon, Ray Solomon off, Alan Newell, Arthur Samuel, Herbert Simon)은 IBM 기업 스폰으로 열린 다트머스 컨퍼런스에 “자동화의 미래”라는 주제로 진행하면서(1968) AI 선구자 역할을 하게 됩니다. 하지만 AI 선구자 7인 중 한명인 마빈 민스키(Marvin Minsky)가 One Single Layer로 XOR을 증명할 수 없다는 논문 발표를 하고 나서 AI는 25년간 암흑기를 맞이하게 됩니다.

그럼에도 그 긴 암흑기간 동안 토론토 대학의 제프리 힌턴 (Geoffrey Hinton, 토론토 대학 교수 출신 Google AI 초빙), 얀 레큰 (Yann LeCun, 콜롬비아 데이터사이언스 출신 페이스 북 인공지능과학자 대표 초빙), 요시아 벤지오 (Yoshua Bengio, 캐나다 통계학습알고리즘의 리서치 대표)는 사기꾼 취급을 당하면서도 끊임 없는 연구로 AI학회 중 가장 큰 학회인 국제머신러닝학회(ICML, International Conference on Machine Learning)에서 2018년 기조연설(https://www.youtube.com/watch?v=IK_svPHKA0U&t=47s) 을 하게 됩니다.

이때 그 동안 사기꾼 취급을 당했던 내용들이 모두 증명되었음을 발표하는 자리가 되었고, 그 동안의 한을 풀어놓은 기조연설을 하였다고 합니다. 그래서 정지훈 교수님은 “당장! 증명할 수 없다고, 다가올 새로운 미래를 성급하게 부정하지 말라”는 메시지를 강연을 통해 전달했습니다.

AI의 발전 : 암흑기와 황금기 AI의 발전: 암흑기와 황금기

#2. AI 시장은 이제부터 시작!

앞으로는 현존하는 기술을 활용하여 차별화된 상품을 기획하는 능력이 중요하다고 합니다.

AI 기술시장 성장 6단계 AI 기술시장 성장 6단계

1단계(~1986, 기술 증명 단계)
: 25년간의 암흑의 시간을 보내며, AI 기술시장 성장 단계 중 가장 오랜 시간이 걸림
2단계(~2007, 상징적 증명 단계)
: 스텐포드의 이미지넷이 대표적 증명하는 사례
3단계(2012, 타 분야 확장적용 준비 단계)
: 관심연구자가 늘고 연구 재현하고, 발전시키고, 다른 분야에도 확장적용 연구
4단계(2014, 상업화 시도 단계)
: 기업의 투자 자금이 증가하며, AI의 상업화를 시도.
제프리 힌턴의 Deep Neural Network(DNN) 리서치 연구소를 google이 인수하고, 페이스 북 페어를 만들기 위해 얀 레큰을 초빙
5단계(2016, 기술의 수익화 증명 단계)
: 상업적 성과를 증명하고 개발자 생태계 환경을 구축.
구글 딥마인드 연구소의 경우, 알파고 강화학습으로 이세돌 구단을 이긴 상징적 사건으로 시장 인식 선점 효과를 누림
6단계(2017~, 사업 확장 성장 단계)
: 다양한 산업에서 AI를 적용하고 가능한 분야 및 시장 성장 가능성 타진

#3. AI의 최근 핫 이슈

1) Generative/Creative AI는 왜 중요한가?

분석적 접근을 하는 AI는 고객이 해결을 요청한 문제가 사전에 정의되어 있지 않으면 그 문제를 해결할 수 없는 상황이 발생합니다. 하지만 Generative/Creative AI는 있을 수 있는 데이터를 생성하고 창조해서 문제를 해결하는 접근을 하게 됩니다. 쉽게 말하면 ‘창의적으로 문제를 풀어내는 능력을 가진다’는 측면에서 최근 들어 관심을 받고 있습니다.

예를 들면, 사라지는 것을 복원 한다든지 창의적인 문제해결이 필요한 분야에 적용하고 활용할 수 있습니다. 단점은 과학적인 접근과 설득 또는 정확도를 찾아내야 하는 경우에는 Generative/Creative AI 는 적합하지 않습니다. 또한 성능에 대한 부분은 새로운 접근을 시도하기 때문에 예상 밖의 답변에 대해서 위험성을 감수해야 합니다. 그래서 Generative/Creative AI는 용도와 목적에 잘 맞는 분야에 적용하도록 충분한 고민을 해야 합니다.

Mona Lisa restyled by Picasso, van Gogh, and Monet Mona Lisa restyled by Picasso, van Gogh, and Monet
(출처 : Gene Kogan, http://genekogan.com/works/style-transfer/)

2) Interpretability AI가 왜 중요해 졌는가?

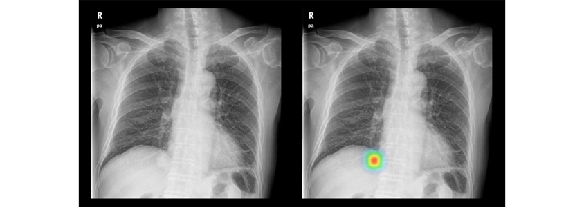
루닛(https://lunit.io/joinus/)의 영상이미지 판독 AI서비스를 예시로 설명해보겠습니다.
AI가 상업화되면서 ‘루닛인사이트’ 처럼 AI가 하나의 제품으로 포장되어 판매됩니다. 이러한 제품이 시중에 판매되기 전에 식약청의 승인허가를 받아야 하죠. 승인허가를 내기 전에 식약청은 제품이 충분하게 실험이 되었는지, 정확도는 높은지에 대한 증명을 합니다. 여기서 정확도가 높은 결과가 나왔을 때, 왜 그렇게 결과가 나왔는지에 대한 해석을 해줘야 합니다. 하지만 아직까지 인간의 해석능력이 AI를 뛰어넘지 못해서 AI가 해석한 것을 볼 수는 있지만 결과가 주는 의미파악은 어려운 상황이죠. 결국, 인간의 능력보다 월등하게 정확한 해석을 해내는 AI가 필요하다고 판단되면, Interpretability AI가 적합한 분야 활용될 수 있을 것 입니다.

▷ Interpretability AI 상업화 되었을 때, 정의되지 않은 문제들에 대한 고민 필요
  • 안정성: 시스템이 올바른 의사결정을 하는지 확인이 필요
  • 디버깅: 작동하지 않는 이유를 알고 스스로 해결하거나 인간이 개입해서 해결 가능하게 할 수 있도록 함
  • 과학적 이슈: 새로운 것을 알 수 있어야 함
  • 목표 불일치, 다중 목표 절충 방안: 목표로 한 시스템이 최적화 하지 못했을 때 대비
  • 법률/윤리: 합법적/윤리적으로 설명이 가능해야 함
Interpretability AI 상업화: 루닛 적용사례 Interpretability AI 상업화 : 루닛 적용사례 & 출처:루닛 홈페이지, 제품소개

3) Human-Compatible AI가 왜 중요해졌는가?

우리는 인간을 뛰어넘는 초능력을 가진 AI를 무서워하기 보다는 우리와 밀접하게 협업하는 AI가 정의되어지지 않은 가치판단을 가지고 미션만 달성하였을 때 현실세계에서 벌어지게 될 일을 더 무서워해야 한다고 합니다. 그 이유는 AI가 미션 달성만을 목적지향적으로 수행했을 때 도덕적, 윤리적, 사회적으로 예측하지 못한 곳에서 심각한 문제를 발생시킬 가능성이 높기 때문입니다. 그래서 가능한 현실세계에서 암묵적으로 인정되는 가치나 규범에 대해서 사전지식이 학습되어 있어야 하며, AI의 상업화가 확산되면서 가치기준 (Value alignment) 이슈가 점점 더 중요해지고 있습니다.

4) The off-switch game이 왜 중요한가?

불확실한 상황에서 AI가 자기제어가 안될 때 심각한 문제가 발생하므로, 통제가 가능하게 만드는 것이 중요합니다. 스스로가 통제하고 작동을 멈출 수 있게 만드는 기능을 가질 때 비로소 인간이 안전성을 확보된 상태에서 AI를 사용할 수 있게 됩니다. 또한 인간이 수용할 수 있는 패턴으로 AI에게 역 학습을 통해서 인간과 소통이 가능하게 하는 학습방식이 필요합니다.

Learning through human feedback (Safe AI) Learning through human feedback (Safe AI), 출처: https://deepmind.com/blog/learning-through-human-feedback/

#4. DUBU 특강을 마치며

뇌 과학자인 마블 스톤은 딥러닝과 뉴로사이언스가 서로 통합되어 연구가 진행될 때 진정한 AI를 이룰 수 있다고 이야기합니다. 새로운 미래는 마음을 열고 다양한 사람들과 융합적으로 협력하고 우리가 맹신해 왔던 것에 대해서 다시 한번 의심해보고 새롭게 재해석해서 창조적인 미래를 만들어 나가는 것이 중요하다는 마지막 메시지로 정지훈 교수님은 DUBU특강을 마쳤습니다.

라인
[ AI !! 궁금증 해결 Q & A ]

Q1) 인공지능이 상상을 초월하는 시대가 온다면 개인에 대한 모든 정보들이 오픈 될 텐데, 이에 대한 대책은 어떤 것이 있을까요? 단순히 정책만으로 커버 할 수 있나요?

A1) 인공지능의 성능이 좋아지는 것과 개인정보가 오픈 되는 것은 다른 문제입니다. 확실한 것은 인공지능의 사회적 효용이 높아질 수록 개인정보를 공개하려는 힘은 강해질 것입니다. 현재 정책은 개인정보보호법을 중심으로 이러한 프라이버시 문제를 막고 있습니다. 하지만 앞으로 사회적 효용에 대한 이익이 늘어나는 부분에 있어서 법을 완화할 가능성이 커질 것입니다. 그렇게 되면 개인들의 데이터 중요성에 대한 인식(awareness)이 가장 중요하게 작용할 것이며, 이에 따라 교육도 중요하게 될 것입니다. 구글 같은 기업에서는 이미 데이터 프런트라인을 통해서 데이터를 소유하거나 포터블 하게 만들 때 발생하는 이슈를 처리하는 '인공지능 윤리 이사회‘ (DeepMind Ethics & Society: https://deepmind.com/applied/deepmind-ethics-society/) 가 운영되고 있습니다. 향후에 자사의 상품이나 서비스를 선제적으로 론칭 시, 이러한 역할을 하는 부서의 중요성이 커질 것입니다.

Q2) 모럴머신(Moral Machine) 이 인공지능에게 답이 될까요?

A2) 여러 개의 일을 처리하는 인공지능에는 기본적으로 모럴 에이전트(Moral Agent)가 필요합니다. 요즘에는 모럴 튜닝 테스트와 같은 것을 제정하여 적용하려고 하는 움직임이 있습니다. 단순히 인간을 도와서 단일 작업을 하는 에이전트 들에게는 이러한 것들이 필요 없겠지만 조금 더 오토너머스(Autonomous)하고 여러 결정과 판단을 내리는 일들을 하는 상품을 릴리즈 할 때는, 우리가 전기 안전 테스트를 하는 것처럼 모럴과 관련된 테스트를 통해 안정성을 확보해야 한다고 생각합니다.

Q3) 인공지능은 감정을 가지거나, 감정을 가질 수 있을까요?

A3) 인공지능이 감정을 가진 것처럼 보이게 할 수는 있습니다. 인공지능에게 감정이 중요한 이유는 인간이 하이퍼 소셜(Hyper-social)하기 때문입니다. 인간은 무생물에게도 감정이 있다고 느끼는 종족입니다. 이것이 인간 진화의 기본적인 것 중에 하나인데, 인공지능이 감정이 있는 것처럼 가장하고(simulate), 감정을 인식하고 도와주게 하는 것은 충분히 할 수 있습니다. 하지만 감정을 표현(express)하는 기술과 탐지(detect)하는 기술은 완전히 다릅니다. 이것은 서로 다른 메커니즘(mechanism)을 이용해서 구현이 가능하며, 충분히 해볼만한 연구라고 생각합니다. 과거에는 이미지나 목소리를 탐지하는 기술이 적어서 판단 할 수 있는 부분이 작았는데, 최근에는 이러한 것들이 가능하게 되면서 할 수 있는 것들이 많아졌습니다. 잘 된다면 이 기술을 통해 유용한 서비스를 만들어 낼 수 있을 것 같습니다.

라인

▶   해당 콘텐츠는 저작권법에 의하여 보호받는 저작물로 기고자에 저작권이 있습니다.
▶   해당 콘텐츠는 사전 동의없이 2차 가공 및 영리적인 이용을 금하고 있습니다.



이 글이 좋으셨다면 구독&좋아요

여러분의 “구독”과 “좋아요”는
저자에게 큰 힘이 됩니다.

subscribe

구독하기

subscribe

CX혁신팀
CX혁신팀 IT테크놀로지 전문가

삼성SDS CX혁신팀

삼성SDS CX혁신팀은 고객경험 혁신을 위한 지식과 인사이트를 전달하기 위해 분야별 명사를 모시고 DUBU(Design yoUr Business value Up)특강을 통해 Realize your vision을 실천해 나가고 있습니다.

공유하기